審美歯科・ホワイトニング
審美歯科

健康で美しい口元を作り出す方法を審美歯科と言います。
昔から日本では、美しい人を『明眸皓歯(めいぼうこうし)』という言葉を用いて説明することがあります。
美しい歯ならびのきれいな白い歯は、口元に自信を与え自然な笑顔を作り出します。
最近では、女性だけでなく口元に美しさを求める人が増えており、多くの人が審美歯科の治療を受けています。
美しく白い歯を得ることは口元のコンプレックスを取り除き精神的にも健康をもたらしてくれることでしょう。
見た目だけではなく、心から健康と美しさを作り出すのが審美歯科なのです。
メタルインレー
レジンインレー
メタルクラウン
ポーセレンジャケットクラウン
金銀パラジウム合金ブリッジ
ポーセレンブリッジ
ホワイトニング
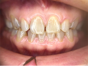
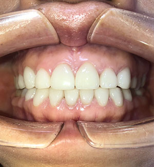
不健康に見えてしまう歯の色でも、下記の方法で変えることが出来ます。
- ホワイトニング(ブリーチング)
- 歯科用の薬剤やレーザーを使用して歯を白くします。
変色の度合いや先天的、または歯の内部に原因がある人はできない場合もあります。
- ティースクリーニング
- 歯の表面に付いた汚れ(タバコのヤニなど)をきれいに落とします。
- ラミネートベニア
- 歯の表面にレジンという樹脂を薄く盛り付けて固める方法です。
また歯の表面を薄く削って、その上にボーセレンというセラミックをきれいに接着する方法もあります。
これらはティースクリーニングやホワイトニングでは白くできない人にでも治療できます。
- セラミッククラウン
- 歯を削り、その歯にセラミックで作ったクラウンをかぶせます。
変色がひどくても自然な歯の色にすることができます。
- Before
-

- After
-

ムカイダ歯科医院
052-722-1007
採用情報